
Sam Dental
Dr. Bagherian Mohsen
Medic specialist chirurgie oro-dentarăCoordonator clinicăImplantologie digitală
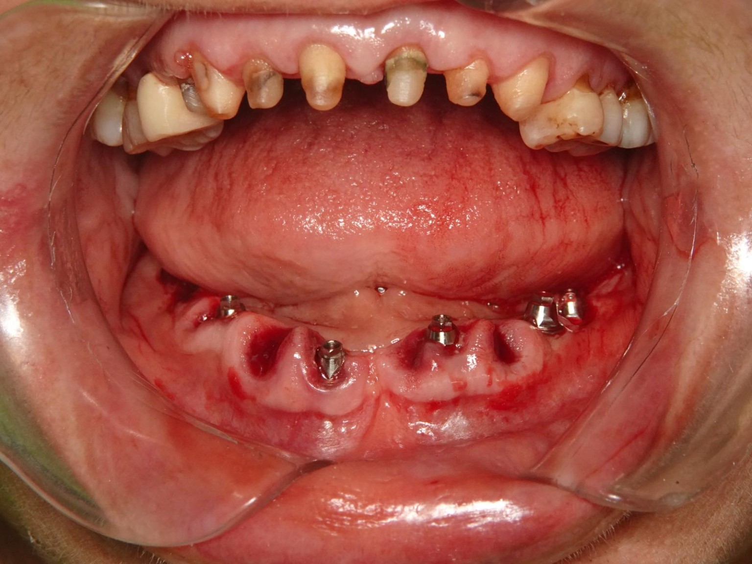
Dr. Bagherian Mohsen coordonează cazurile chirurgicale și implantologice din cadrul Sam Dental, cu accent pe planificare digitală, chirurgie ghidată, reabilitări complexe și rezultate predictibile.
Zone de interes
- Implanturi dentare și reabilitări complexe
- Chirurgie ghidată și ghiduri chirurgicale imprimate 3D
- All-on-4 / All-on-6 și dinți ficși în aceeași zi
- Coordonare interdisciplinară pentru cazuri complexe




