Protetică dentară reprezintă ramura stomatologiei dedicată restaurării și înlocuirii dinților distruși sau lipsă. La Sam Dental București, realizăm lucrări protetice fixe și mobile din materiale premium — zirconiu, ceramică e.max și metal-ceramică — adaptate fiecărui pacient în parte. Cu peste 23 de ani de experiență și un rating de 4.9 din 5 stele, suntem una dintre cele mai apreciate clinici de protetică dentară din Sector 5 București.
Ce Este Protetică Dentară și Când Este Necesară
Protetică dentară cuprinde toate soluțiile de restaurare a dinților distruși parțial sau total, precum și înlocuirea dinților lipsă. Tratamentul protetic este recomandat atunci când:
- Dintele a fost distrus de carie extinsă și nu mai poate fi restaurat printr-o simplă obturație
- Dintele a fost tratat endodontic (de canal) și necesită protecție suplimentară
- Unul sau mai mulți dinți lipsesc și trebuie înlocuiți
- Coroana dintelui este fracturată sau uzată excesiv
- Estetica zâmbetului necesită îmbunătățire prin restaurări de calitate
Tipuri de Lucrări Protetice la Sam Dental București
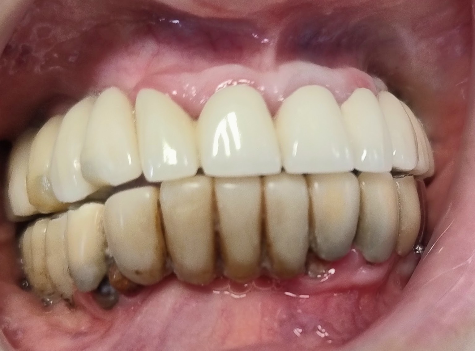
Coroana Dentară Ceramică și din Zirconiu
Coroana dentară acoperă complet un dinte distrus, tratat endodontic sau fracturat, protejându-l și refăcând estetica naturală. La Sam Dental realizăm coroane din:
- Zirconiu monolitic — cel mai rezistent material ceramic, fără metal, biocompatibil 100%. Ideal pentru molari și premolari supuși forțelor masticatorii mari.
- Ceramică e.max (disilicat de litiu) — combinație optimă între rezistență și estetică superioară. Alegerea preferată pentru dinții frontali vizibili.
- Ceramică stratificată — transluciditate și cromatică identică cu dentina naturală, pentru rezultate estetice excepționale.
- Metal-ceramică — soluție clasică de durată cu infrastructură metalică și acoperire ceramică estetică.
Puntea Dentară Fixă
Puntea dentară este o lucrare protetică fixă care înlocuiește unul sau mai mulți dinți lipsă, sprijinindu-se pe dinții vecini (stâlpi). Puntea este cimentată definitiv și nu se scoate, oferind confort și estetică superioare față de proteza mobilă.
Proteza Dentară Mobilă
Proteza mobilă este o soluție protetică detașabilă pentru pacienții cu mai mulți dinți lipsă sau edentați total. Realizăm proteze acrilice și scheletate (pe armătură metalică), cu estetică modernă și confort îmbunătățit față de protezele clasice.
Proteza pe Implanturi
Cea mai avansată soluție protetică — coroană sau proteză fixată pe implanturi dentare, fără a afecta dinții vecini. Oferă stabilitate, estetică și funcție masticatorie identice cu dintele natural.
Materiale Protetice Utilizate la Sam Dental
Zirconiu monolitic
Dioxidul de zirconiu este cel mai rezistent material ceramic disponibil în stomatologia modernă. Oferă durabilitate excepțională, aspect natural și biocompatibilitate totală — fără metal, fără alergii. Recomandat pentru coroane pe molari, implanturi și punți extinse.
E.max — Disilicat de Litiu
Ceramica e.max îmbină rezistența mecanică ridicată cu o estetică superioară. Transluciditatea naturală și gama largă de nuanțe o fac ideală pentru restaurările frontale și laterale unde estetica este prioritară.
Ceramică Stratificată
Realizată strat cu strat de tehnicianul dentar, ceramica stratificată reproduce cromatica și transluciditatea dintelui natural cu cea mai mare fidelitate. Alegerea pentru cazurile estetice de maximă exigență.
Metal-Ceramică
Soluție clasică testată în timp — infrastructură din aliaj metalic acoperită cu ceramică estetică. Raport excelent calitate-preț, durabilitate ridicată, potrivită pentru restaurări extinse.
Cum Decurge Tratamentul Protetic la Sam Dental
Pasul 1 — Consultație și plan de tratament
Evaluăm situația clinică, discutăm opțiunile de materiale și realizăm un plan de tratament personalizat cu estimare de cost și durată. Consultația este gratuită.
Pasul 2 — Prepararea dinților stâlpi
Șlefuirea controlată și precisă a dinților pentru a crea spațiul necesar viitoarei lucrări protetice, respectând structura dentară sănătoasă.
Pasul 3 — Amprentă și lucrare provizorie
Amprentă de precizie trimisă la laboratorul dentar partener. Pe durata fabricării lucrării definitive (7–10 zile) purtați o coroană sau punte provizorie estetică și funcțională.
Pasul 4 — Proba lucrării definitive
Verificăm estetica, culoarea, forma și ocluzia înainte de cimentarea definitivă. Nicio decizie ireversibilă fără acordul dumneavoastră complet.
Pasul 5 — Cimentarea definitivă
Lucrarea protetică este cimentată definitiv cu materiale adezive de înaltă calitate. Medicul verifică ocluzia și vă oferă instrucțiuni de îngrijire.
Programează Consultația Gratuită pentru Protetică Dentară
Redați-vă zâmbetul natural cu lucrări protetice de calitate premium. Consultația la Sam Dental este gratuită și include evaluare clinică completă și plan de tratament personalizat.

